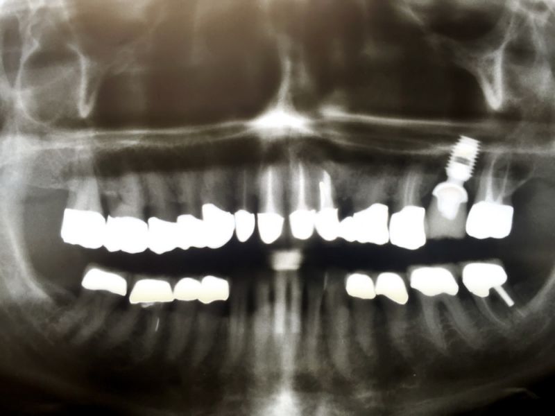
Patientin gestern im vierteljährlichen Recall
Bei dieser Patientin befinden sich die vor 20 Jahren erstellten Kronenversorgungen, bis auf eine neu erstellte Krone auf einem Implantat, nach wie vor im Mund.
Die Patientin mit allerschwersten chronischen Schmerzzuständeen ist seit 20 Jahren vollkommen schmerz- und beschwerdefrei.


