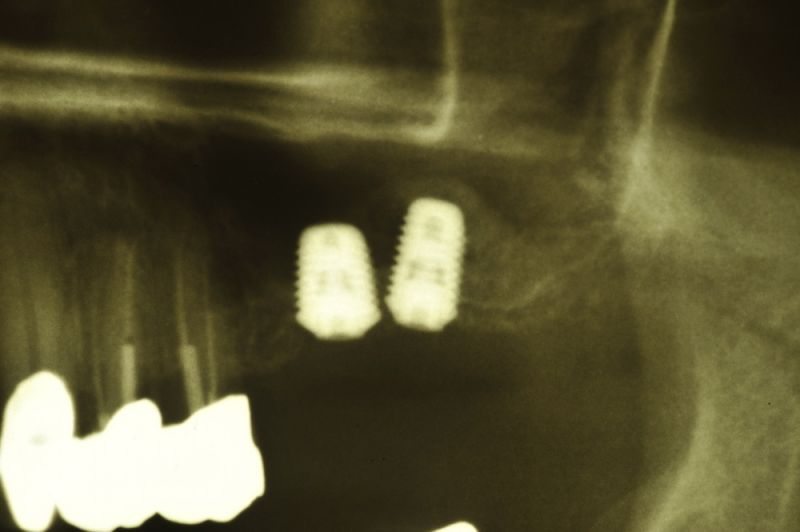
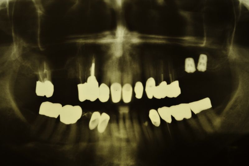
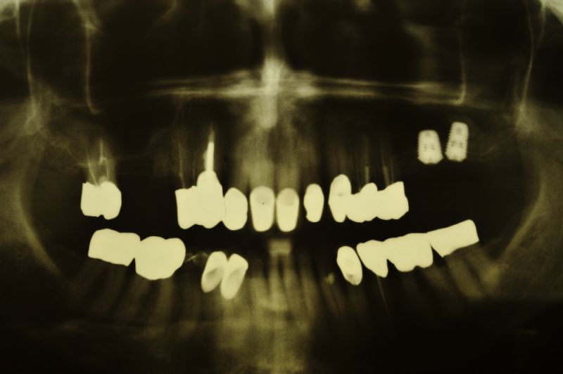
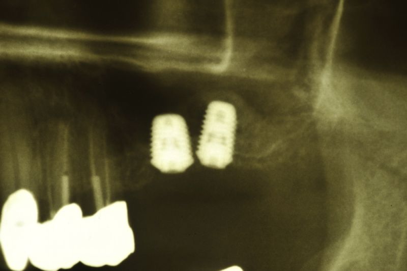
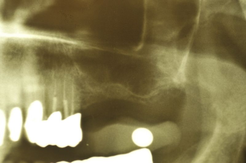
76 jährige Patientin mit 2 Implantaten und externem Sinuslift
Im Verlauf der Jahre ist es an verschiedenen Zähnen des Oberkieferseitenzahnbereichs zu Defekten und Beschwerden gekommen, die eine Entfernung mehrerer Seitenzähne nach sich gezogen hat und noch nach sich ziehen wird.
Am heutigen Tag sind in regio 26 und 27 zwei Implantate mit einem externen Sinuslift versorgt worden. Die Besonderheit des Eingriffs liegt darin, dass im Oberkieferseitenzahnbereich, bei einer noch vorhandenen Restknochenhöhe von wenigen Millimetern, zwei Implantate gesetzt und gleichzeitig eine Aufdoppelung des vorhandenen Restknochenangebots, durch die Schaffung eines Raumes zwischen knöcherner Abgrenzung der Kieferhöhle und der in die Kieferhöhle hinein verdrängten Kieferhöhlenmembran geschaffen werden konnte.
Die Vorgehensweise entspricht etwa der, dass in eine Eierschale, aus der man Eiweiß und Eidotter entfernt hat, ein Loch gefräst wird. Und zwar so vorsichtig, dass die Eierhaut, die in etwas der Kieferhöhlenmembran entspricht, dabei unbeschädigt bleibt.
Nun wird die Membran vorsichtig in das eröffnete Ei hinein gedrückt. In die Eierschale wird an anderer Stelle, aber in der Nähe, nun ein zweites Loch gebohrt und in dieses Loch dann vorsichtig das Implantat hineingeschraubt. Das Implantat muss hierbei fest sitzen, oder wie man sagt: primärstabil! Ein Teil des Implantates ragt nun in das leere Ei hinein und zwar so, dass die verdrängte Membran des Eies sich wie eine Art Zirkuszelt über das Implantat hinweg spannt.
Der Raum, der nun zwischen dem Boden des Zirkuszelts und der Zirkuszeltspitze entsteht, der Mast, der das Zirkuszelt in der Mitte trägt, entsprich hier dem Implantat, wird nachfolgend mit einem Gemisch aus Knochen, Blut und Knochenersatzmaterialien aufgefüllt.
Genau das kann man dann auf dem Röntgenbild erkennen. So bildet sich innerhalb der Kieferhöhle, aber begrenzt durch die Kieferhöhlenmembran, neuer Knochen, der dann nachfolgend dem Implantat den knöchernen Halt gibt, den es unter späterer Belastung durch Kaudruck benötigt.
Wenn man so will, ermöglicht das Implantat, das wie ein Mittelmast das Zirkuszelt in die Höhe drückt, erst die Möglichkeit, dass der Hohlraum, der dann zwischen dem Zirkuszeltboden und der Mastspitze entsteht, sich nachfolgend mit Knochen auffüllt, so dass das Implantat am Ende des Einheilungsprozesses in voller Länge in neu gebildetem Knochen steht!
Das Problem der Operation besteht darin, dass zum einen noch genügend Restknochen vorhanden sein muss, damit das Implantat primärfest verschraubt werden kann, und zum anderen die Membran beim Ablösen von der Innenseite der Kieferhöhle, ähnlich wie bei der Mobilisierung der Eierhaut von der Innenseite der Eierschale, nicht zerreißt. Soll heißen, wenn es nicht gelingt den mittleren Zirkusmast sicher im Boden zu verankern, gelingt es auch nicht das Zirkuszelt nach oben hin aufzuspannen und damit den Hohlraum zu schaffen, in dem sich nachfolgend dann über mehrere Monate hinweg der Knochen bilden soll, der dem Implantat nachfolgend dauerhaft Halt verschafft.
Eine große Fummelei und Geduldsarbeit. Was man auf keinen Fall machen darf: Mit Kraft arbeiten und Gewalt anwenden.
Alles in allem eine technisch sehr aufwändige Operation, verbunden mit erheblichem Materialeinsatz, aber am Ende der Schaffung neuen Knochens, in dem dann sehr gut und dauerhaft Implantate verankert werden können, um einen festsitzenden Zahnersatz zu installieren.
Funktioniert so leider nur im Oberkieferseitenzahnbereich!


