Patientin von der dänischen Grenze erhält einen adjustierten Aufbissbehelf
13746
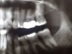
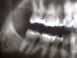
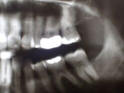
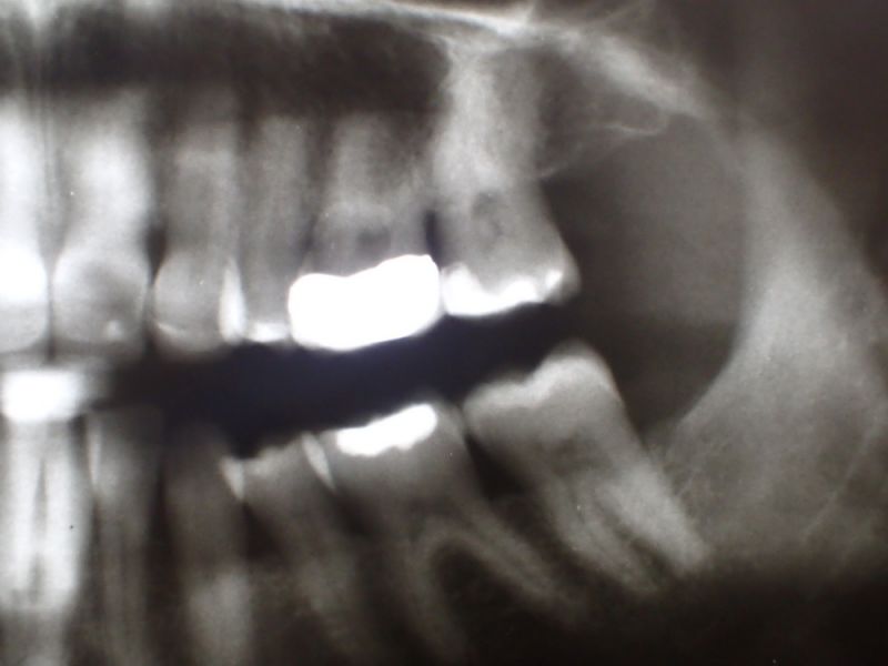
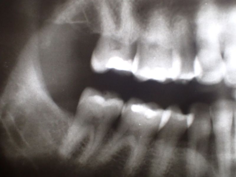
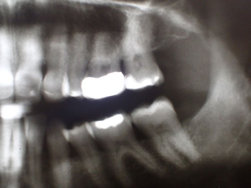
In diesem Zusammenhang wurde heute noch ein Übersichtsröntgenbild erstellt, dass einen ganz typischen, aber häufig nicht bekannten Befund mit sich bringt.
Obwohl die Patientin erkennbar eine gute Mundhygiene beteibt, zeigt sich im gesamten Oberkiefer und hier vor allem im Bereich der Backenzähne ein ausgeprägte und altersuntypisch weit voran geschrittener Knochenabbau.
Fast noch schlimmer: Der Patientin ist das nicht bekannt.
Das Typische an diesen Zuständen besteht darin, dass der Knochen im Unterkiefer weitgehend normal erscheint, was bene gerade dafür spricht, dass es sich um kein mundhygienebedingtes Problem des Kieferknochenabbaus handelt.
Sollte über die Funktionsdiagnostik hinaus in diesem Fall eine Funktionstherapie zustande kommen, wäre deren Ziel nicht nur die Beseitigung/Linderung der bekannten funktoinellen Beschwerden, sondern darüber hinaus der Stopp des anhaltenden alveolären Knochenabbaus.


