Rekonstruierter CMD Patient aus Kiel im vierteljährlichen Recall
11359
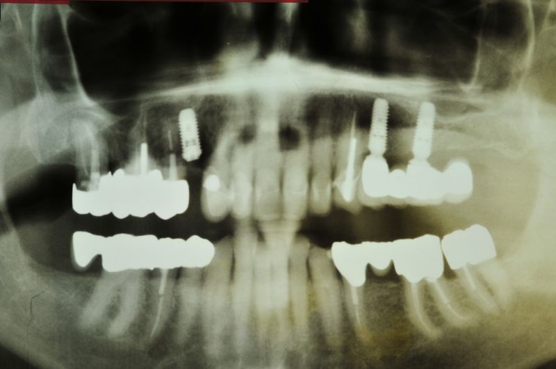
Diese CMD Behandlungsfälle sind daher interessant, weil der Patient bereits seit 15 Jahren versorgt ist, vollkommen beschwerdefrei ist und damit deutlich wird, dass zahnärztlich funktionstherapeutischeBehandlung zwar aufwändig ist, aber eben auch sehr nachhaltig sein kann.
Das Implantat 13 ist inzwischen mit einer Einzelkrone versorgt.


