18.11.2020 11:30
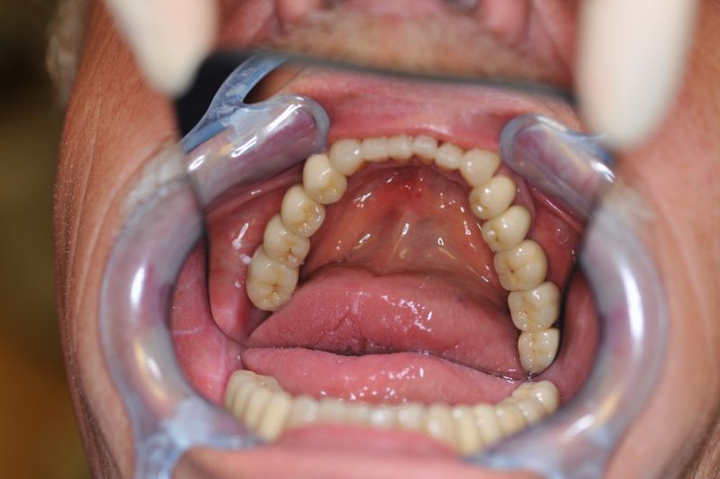
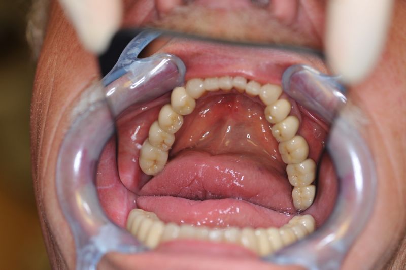
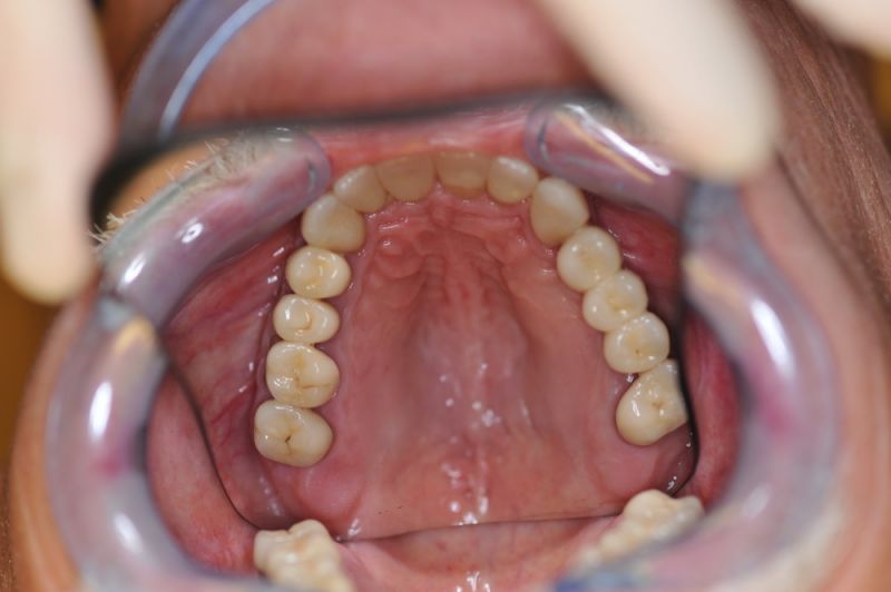
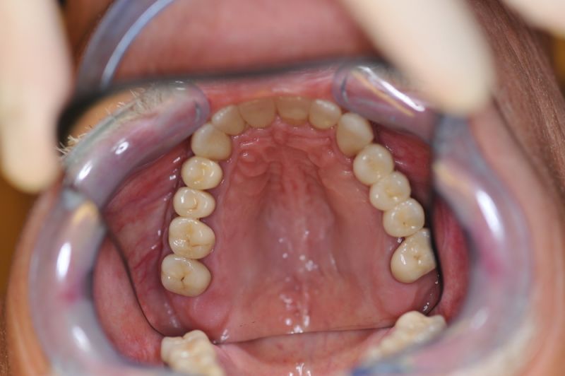
Die Versorgung, der Zahnhalteapparat, alles sieht wirklich sehr gut und stabil aus.
Der Patient ist glücklich und zufrieden mit seiner Komplettversorgung.
Zurück