Rekonstruierter CMD-Patient aus Ostholstein zur Kronenversorgung
11266
In diesem Fall, der Patient ist seit fast 30 Jahren in Behandlung des Verfassers, also schon bereits zu gemeinsamer Zeit im Marinefliegergeschwader 5 in Kiel-Holtenau, gibt es mehrere kleine Probleme, die alle für sich genommen dann aber schon ein Problem darstellen.
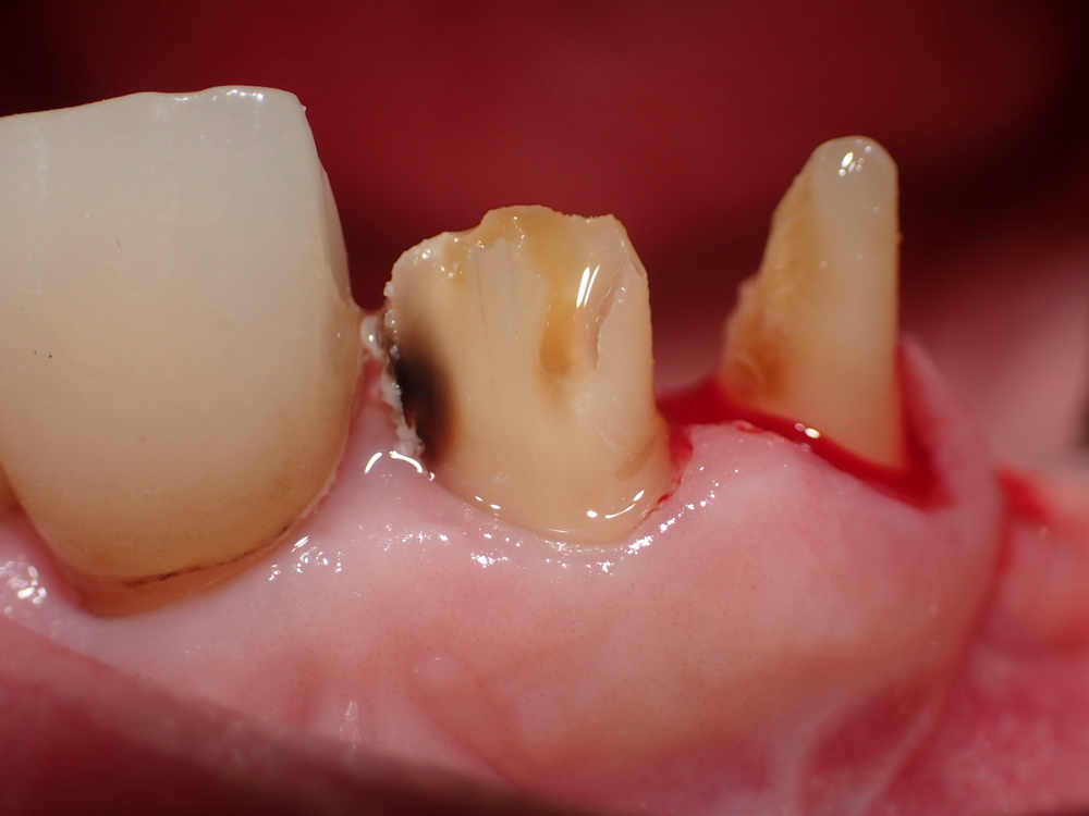
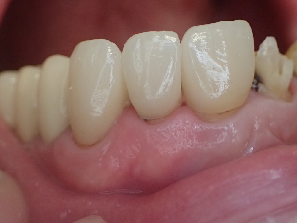
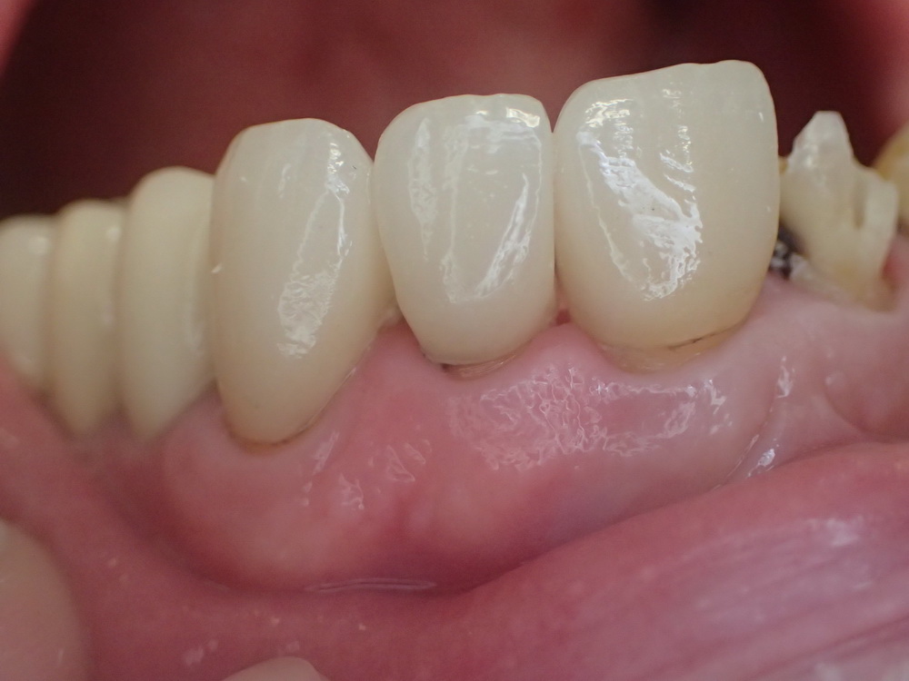
Die Kronen in der Front, die heute erneuert werden musste sind erst seit 7 Jahren im Mund des Patienten.
Dieser wiederum ist aber inzwischen auch 76 Jahre alt, betreibt eine hervorragende Mundhygiene, leidet aber inzwischen einer sogenannten "Xerostomie", heit an einer Mundtrockenheit.
Wozu führt das?
Zu einer Verminderung der Selbstreinigungsfähigkeit des Mundorgans vor schädlichen bakteriellen Noxen.
Das wiederum führt dazu, dass sich bei diesen Patienten an zugänglichen Stellen schneller Karies bildet.
Was war aber bisher die oberste Prämisse in derartigen Behandlungsfällen?
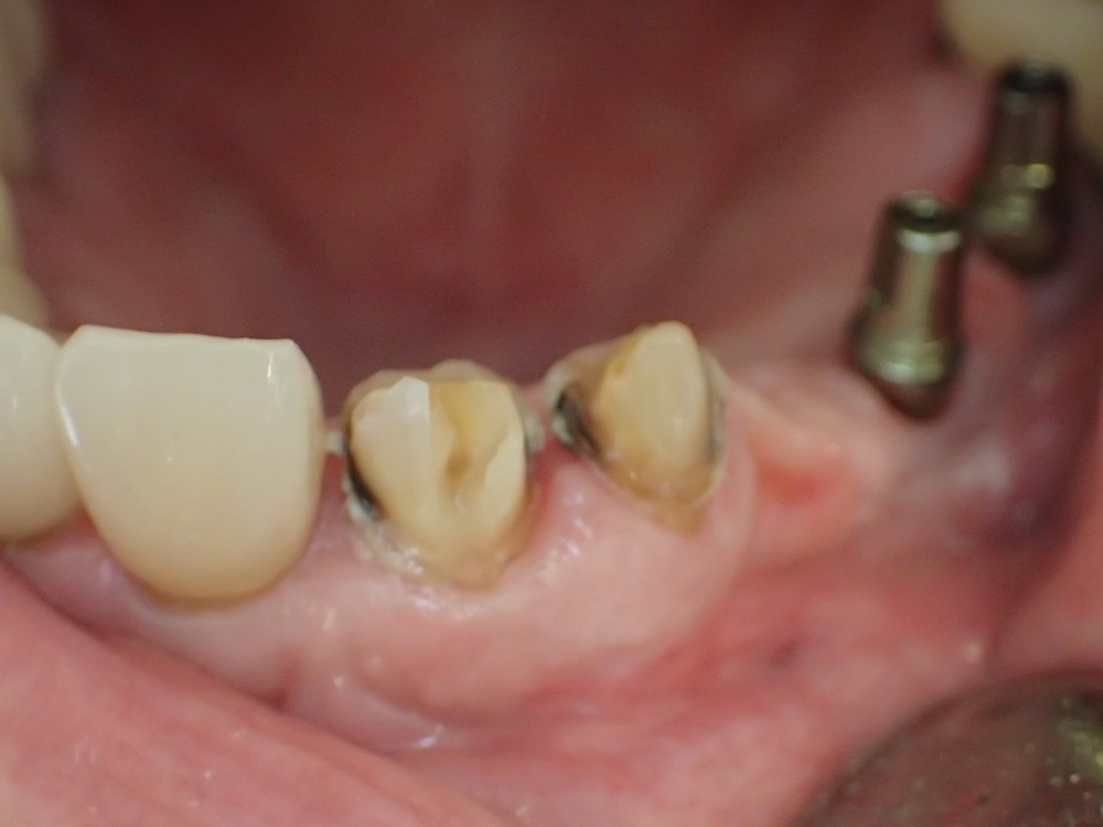
Die Erhaltung von möglichst viel Zahnsubstanz, hißt konkret die Etablierung von Teilkronen, das heißt möglichst viel eigener Zahnsubstanz.
Genau die aber ist, bei einer nicht vorhersehbaren Xerostomie nun genau das Problem.
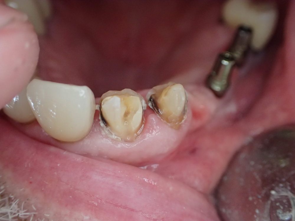
An Kronen bildet sich keine Karies, höchstens am Kronenrand. Soe wie das nun bei Xerostomiepatienten stattfindet.
Nun könnren wir aber nicht so einfach die ehemals geschonte Zahnhartsubstanz, verbunden mit dem dazu gehörigen Kronenrand so einfach tiefer, und das am Besten unters Zahnfleisch verlegen.
Das können wir erst dann, wenn wir eine belastbare Indikation haben, und die besteht am allerehesten in einer sogenannten Sekundärkaries.
Und so ist auch verständlich, warum Beurteilungen, die früher richtig waren, heute nicht auf einmal deshalb falsch sind, weil wir aus der ex-post-Perspektive darauf blicken können.
In jedem Fall wird aber klar, dass sich Sachumstände und die damit verbundenen Beurteilungen dadurch verändern, weil sich die Ausgngsnbedinungen verändet haben. Weil das Leben eben nun mal so ist.
Wenn man also bei einem bekannten Xersostomie Patienten heute erneut komplexe Teilkronenversorgungen vornehmen würde, dann müsste man darüber diskutieren, ob das wirklich richtig ist.
So liegt der Fall hier aber nicht.
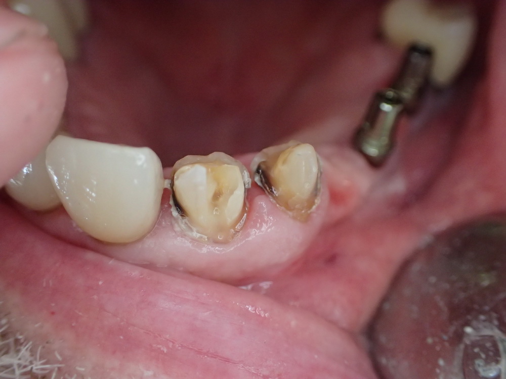
Was aber zu denken gibt, dass sich auch an den gleichsam versorgten Zähnen 21 und 22 erste düne bräunliche Verfärbungen bilden, bei denen man von einer diskreten Sekundärkaries sprechen könnte. Was aber gleichzeitig auf keinen Fall indiziert die bestehenden Kronen mirt dieser Indikation zu entfernen und ebenfalls zu erneuern.
Nur, und das haben wir dem Patienten heute nochmals deutlich gemacht. Schon in sechs Monaten kann die Beurteilung der Lage eine vollkommen andere seinund das nicht etwa deshalb, weil irgendjemand irgendetwas falsch gemacht hat, sondern weil die Dinge in sechs Monaten anders liegen können, als heute und es heute richtig ist, die Kronen zu belassen und in sechs Monaten genauso richtig sein kann die Kronen zu entfernen, wenn sich herausstellen sollte, dass sich hinter den dezenten bräunlichen Verfärbungen eben doch etwas mehr verbirgt, als eine beginnende, dezente, Kronenrandkaries eines 76 Jährigen.


