Rekonstruierter CMD Patient erscheint zum vierteljährlichen Recall

12449

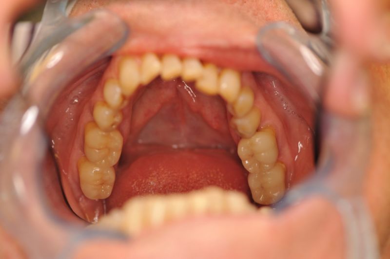
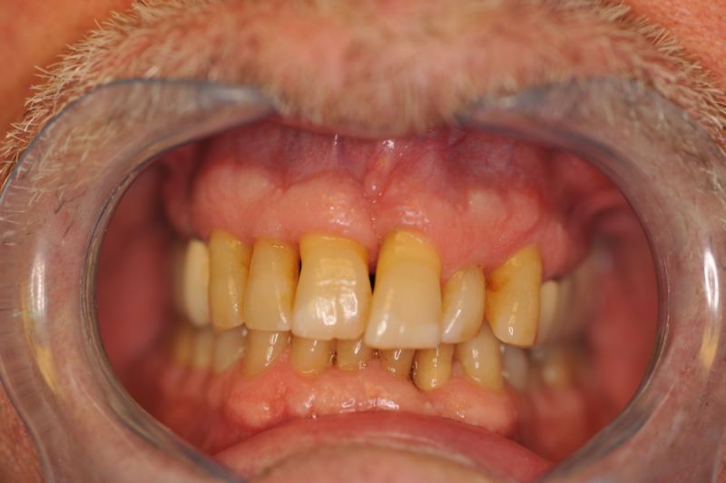
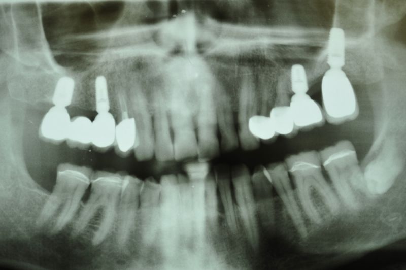
Wie üblich erscheint der Patient zum Recall.

Alles siehgt perfgekt aus. 2 mm tiefe Taschen, perfekte Mundhygiene. Die Arbeit funktioniert!

Zurück