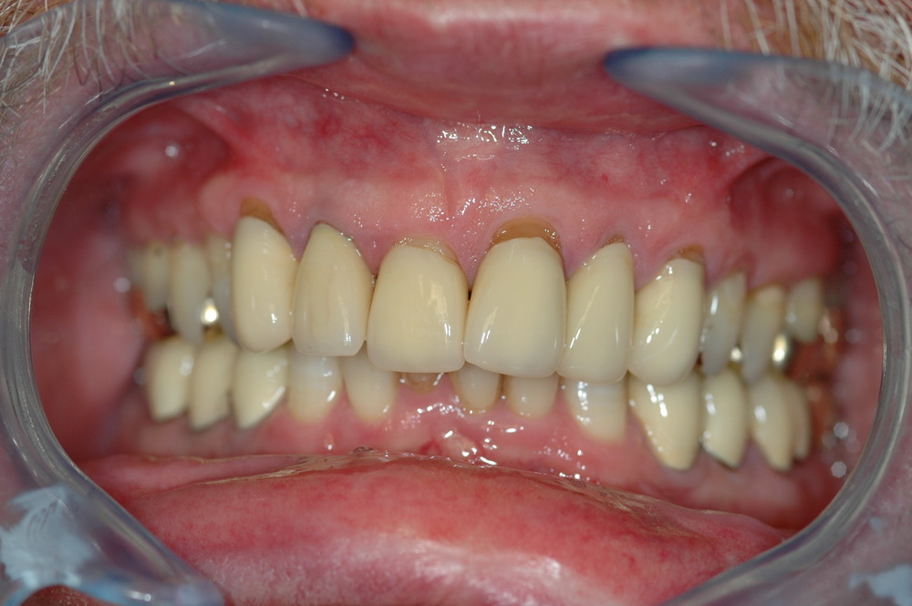
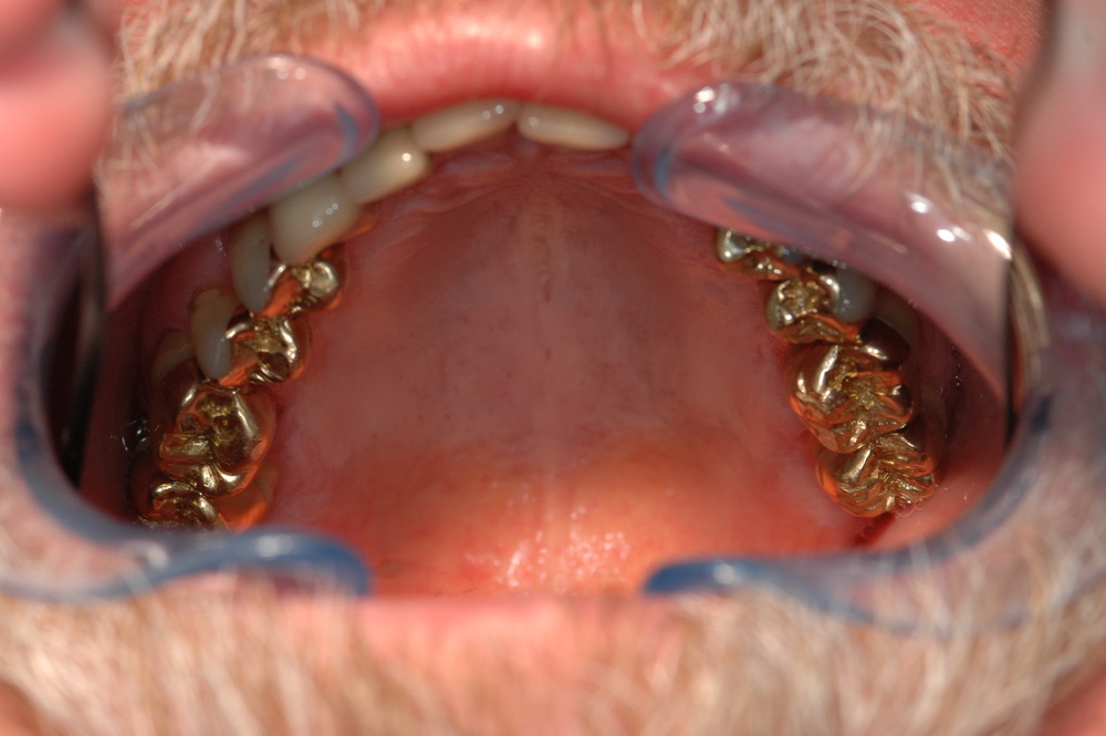
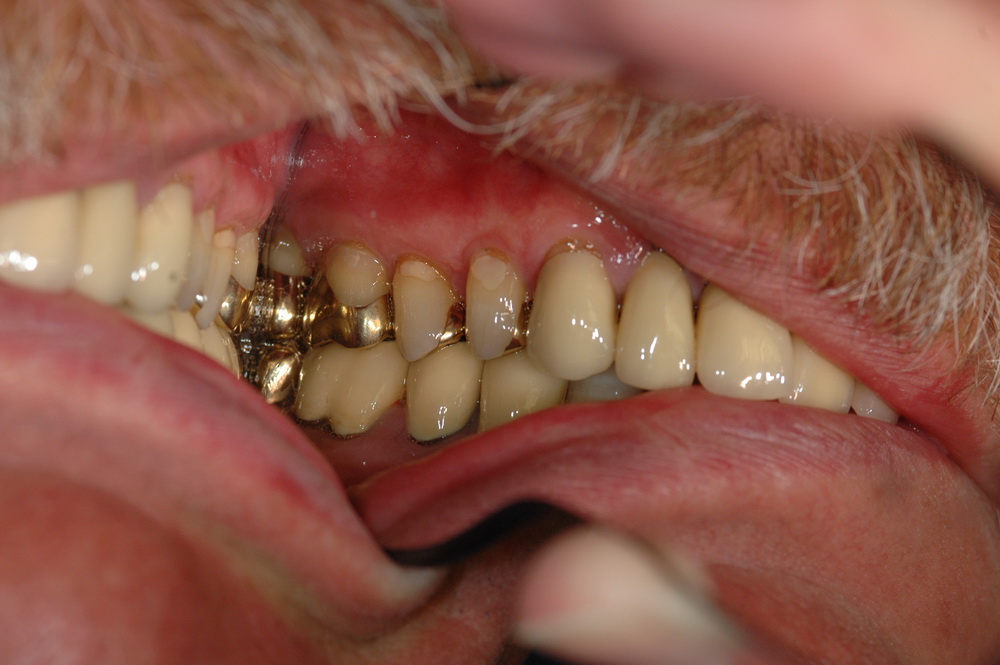
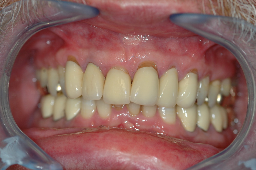
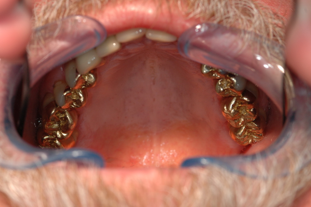
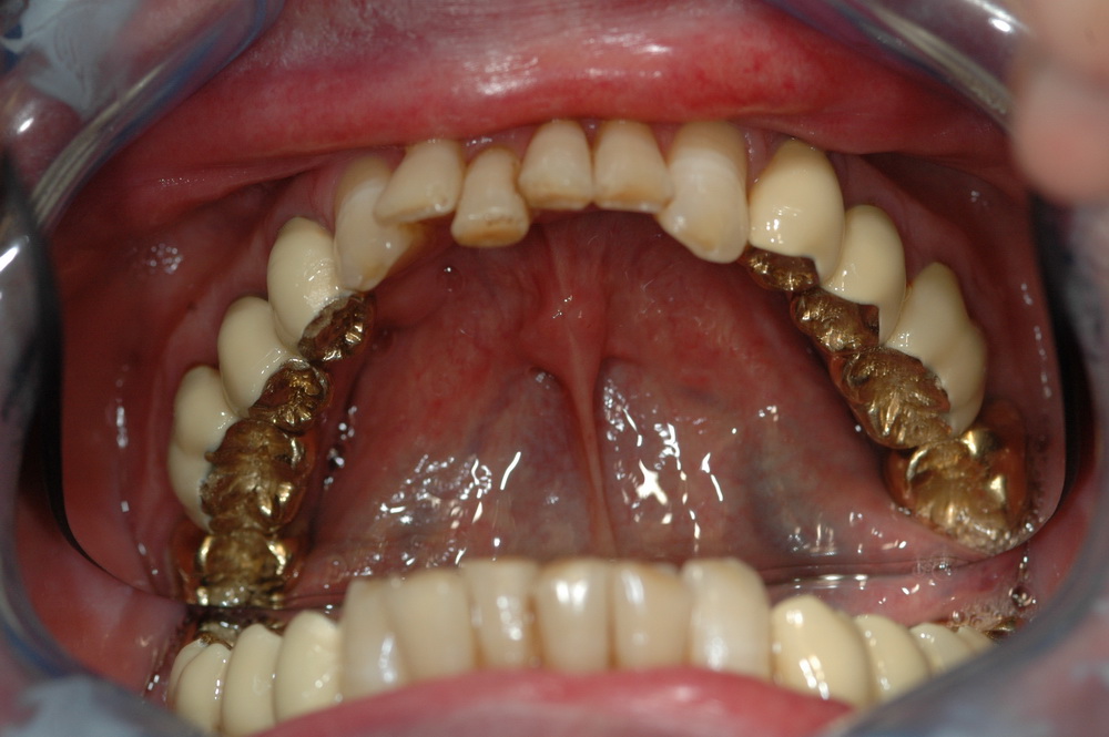
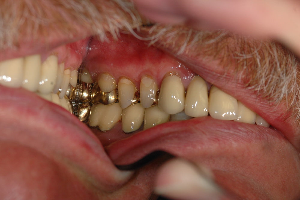
Rekonstruierter Kieler CMD Patient im Recall

11382

Dem Patienten geht es, dank einer funktionstherapeutischen Rekonstruktion seit über 25 Jahren bestens.

Es erfolgt ein Erhaltungsrecall.

Zurück