Rekonstruierter Kieler Patient im Recall
11359
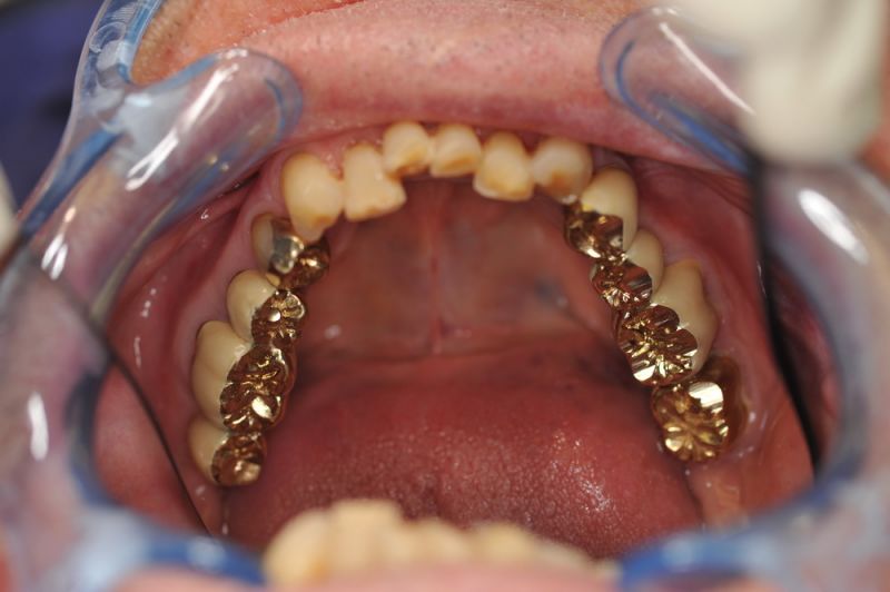
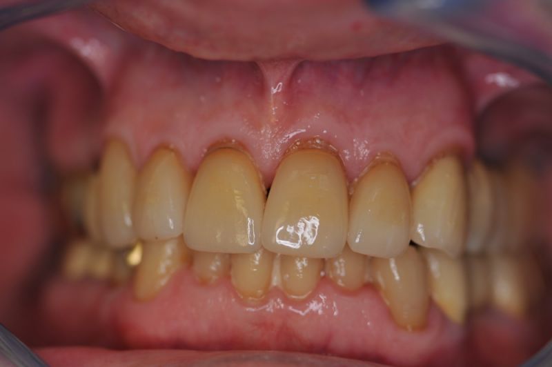
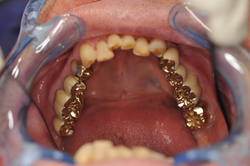
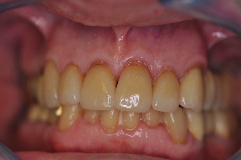
Dem Patienten geht es dental gesehen gut.
Die funktionstherapeutische Rekonstruktion befindet sich seit 17 Jahren im Munde des Patienten.
Ansonsten treiben ihn die Gebrechlichkeiten des Alters.
Dann darf man nicht vergessen hat der Patient bereits eine Tumorerkrankung hinter sich gebracht.
Gemeinsam ist man der Auffassung, dass sich heute zum Glück auszahlt, dass man beizeiten die Fundamente im Mund geschaffen hat, von denen der Patient heute im Alter zehrt.


