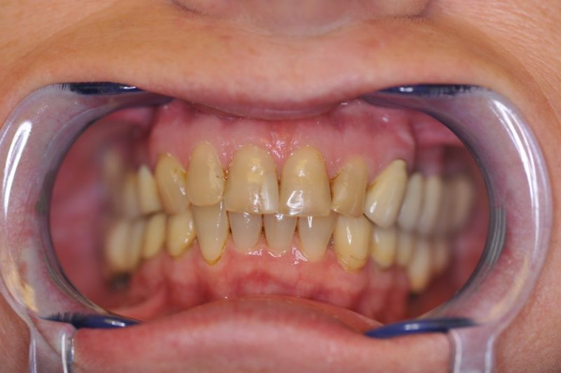
Schwierigster Fall aller Zeiten, praktisch beschwerdefrei. Patientin glücklich!
Wir übrigens auch!
Der Fall einer Patientin aus Hamburg ist zwar bei weitem nicht der umfangreichste, oder gar teuerste Fall aller Zeiten, aber der Fall, der bei dem überschaubaren Umfang, das meiste Kopfzerbrechen bereitet hat und man darf es sagen, am Ende primär als sportliche Herausforderung gesehen wurde, ob man das überhaupt noch hinbekommt.
Und wir haben es hinbekommen! Die Patientin hat heute zum Ausdruck gebracht, dass sie das selbst nicht für möglich gehalten hätte.
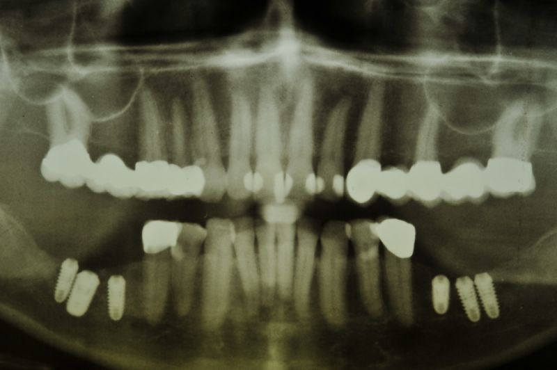
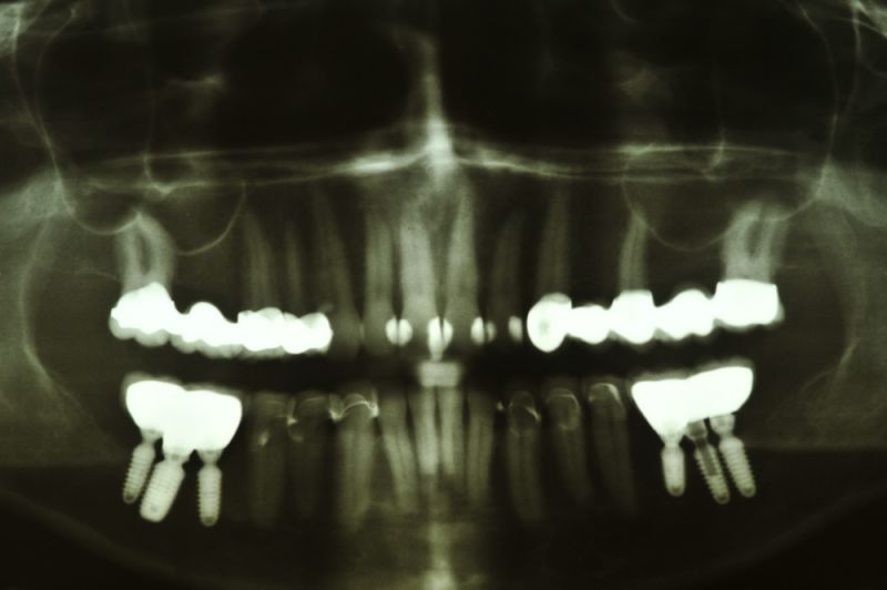
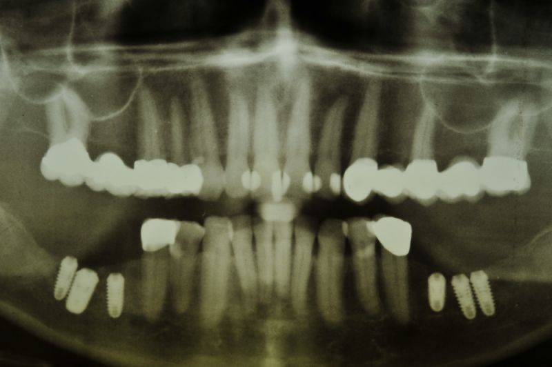
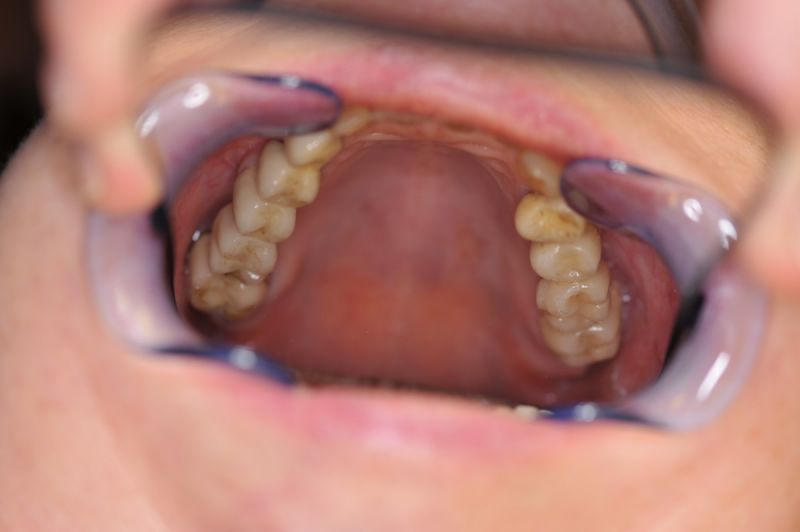
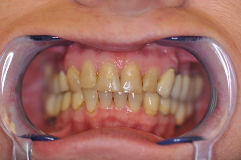
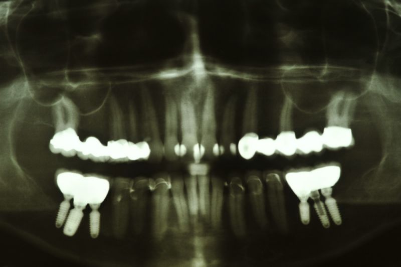
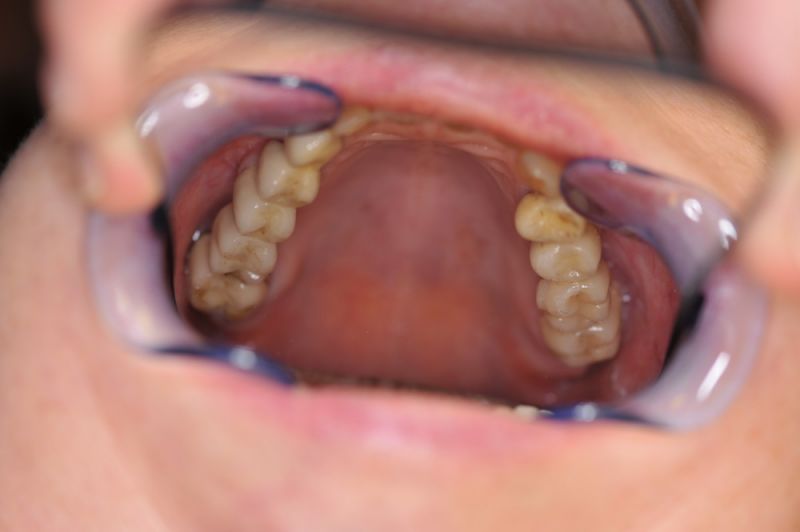
Es war eine Kombination aus Schmerzen bis an die Suizidgrenze, beschränkten wirtschaftlichen Möglichkeiten, sehr stark eingeschränkten Möglichkeiten der für Implantate zur Verfügung stehenden Knochenverhältnisse in einem stark atrophierten Unterkieferseitenzahnbereich und zudem dann auch noch durch auftretenden Problemen bei der Implantatinsertion und nachfolgenden Versorgung der Implantate.
Das Ganze garniert von einem Schreiben der bestehenden Zusatzversicherung in dem Tenor: "Wenn wir vorher gewusst hätte, wie schwierig es wird, hätten wir keine Kostenzusage erteilt!" Ja, sowas gibt es auch!
Soll vermutlich heißen: Dann hätte die Patientin eben weiter mit ihren Schmerzen leben müssen!
Alle 3 Monate Recall! Das ist jetzt Pflicht für diese Patientin und zwar so lange, so lange sie mit dieser Arbeit durch die Gegend laufen möchte! Und eiserne Disziplin bei der Mundhygiene!
Die Problematik der Implantatversorgungen kann man in einer Analogie folgendermaßen darstellen. Die räumlich beengten Zustände gleichen dem Tanz eines Paares auf einer Briefmarke, und der gleichzeitigen Schritt- und Fusshaltung, dass beim Tanzen die Schuhe geputzt werden können!


