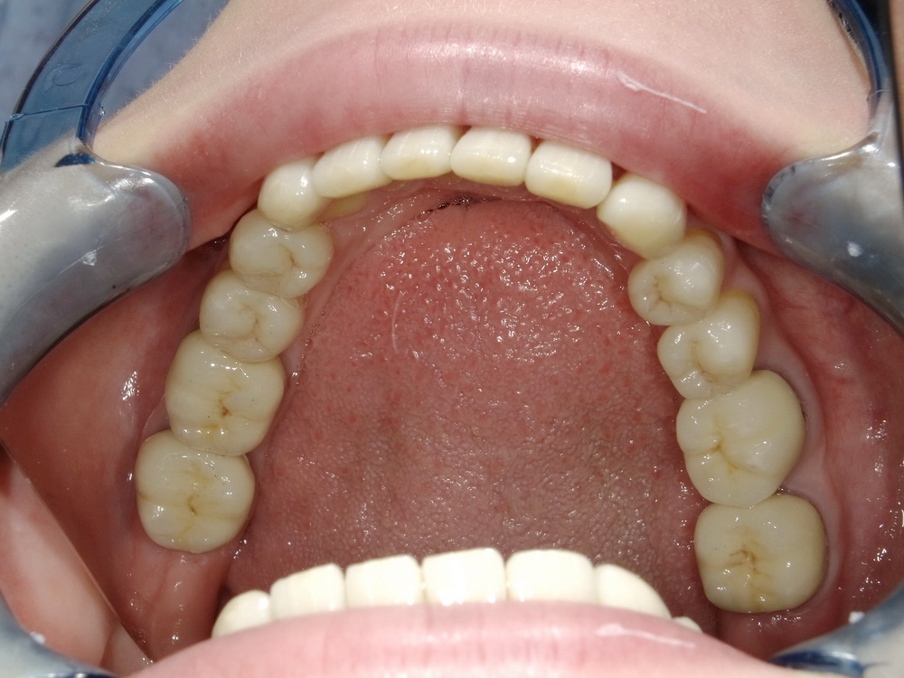
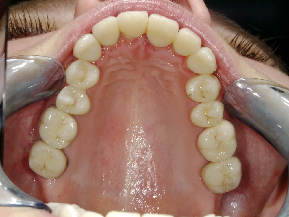
Totalrekonstruierte CMD-Patientin aus dem Münsterland zum Abschlussbefund
13956
Die Patientin ist praktisch beschwerdefrei: 0-1.
Ob diese Restbeschwerden mit dem Kaurorgan zusammen hängen ist unwahrscheinlich.
Die Behandlung wurde mit Erfolg abgeschlossen, die Patienitn aufwändig instruiert.


