Wie lange halten Implantate? Kronen halten noch länger!
Nach langer Zeit, wegen Krebserkrankung mit wiederholten Operationen, kam gestern die inzwischen 71 jährige Patientin wieder einmal in den Recall.
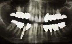
Die Kronen und Brücken, die man auf dem aktuellen Röntgenbild sieht sind aus dem Jahr 1999, damit inzwischen 17 Jahre im Mund. Freiendbrücken, wie hier zu sehen würden wir heute nicht mehr herstellen lassen und eingliedern. Diese Konstruktionen stammten noch aus einer Zeit, in der wir nicht in der Lage waren derartige Situationen mit Implantaten zu versorgen.
Noch interessanter, das Implantat 45, seinerzeit noch ein sogenanntes "Pressimplantat" der Firma Bicon wurde am 13.11.2003 inseriert, ist inzwischen also auch seit 12 Jahren in Funktion.
Das Implantat ist nach wie vor knöchern voll integriert und es gibt keinen Anlass anzunehmen, dass das Implantat in den nächsten 12 Jahren einen Funktionsverlust erwarten ließe.


